Түркістанда дәрігерлер 8 айлық сәбидің денесінен ине тапты
Фото: Түркістан облысы денсаулық сақтау басқармасы
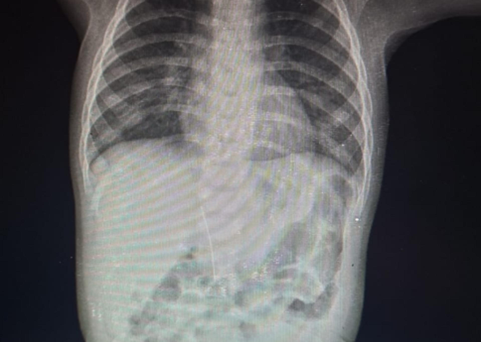
Түркістан қалалық орталық ауруханасының жұқпалы аурулар бөліміне қызамық ауруы болуы мүмкін деген күдікпен 8 айлық сәби жеткізілген. Дәрігерлер рентгендік тексеру жүргізіп, баланың құрсақ қуысынан ине тауып алған, деп хабарлайды Orda.kz.
Бұл туралы бір күн бұрын Түркістан облыстық денсаулық сақтау басқармасының баспасөз қызметі мәлімдеді. Анықталғандай, сәбидің мазасыздануы мен дене қызуының көтерілуі жұқпалы аурудан емес, бөгде заттың әсерінен болған.
Дәрігерлердің айтуынша, ине ағзаға ас қорыту жолы арқылы түспеген. Ол бауыр тұсы арқылы енген. Баланың анасы сәбидің инені өздігінен жұтып қоюы мүмкін еместігін айтқан.
Фото: өңірлік денсаулық сақтау басқармасынан.
Түркістан қалалық орталық ауруханасы мен Түркістан қалалық балалар ауруханасының дәрігерлері бірлесіп шұғыл операция жасап, барлық қажетті емдік шараларды жүргізді. Қазіргі уақытта баланың жағдайы жақсарып келеді, деп нақтылады олар.
Бұған дейін Шымкентте дәрігерлер 16 магнит жұтып қойған 3 жасар баланың өмірін сақтап қалған болатын. Қалалық балалар клиникалық ауруханасына іші қатты ауырған бала шұғыл түрде жеткізіліп, дереу күрделі медициналық көмек көрсетілген. Ата-анасының айтуынша, бала ойнап жүріп бірнеше магнитті байқамай жұтып қойған.
Оқи отырыңыз:
- Медициналық сақтандыруға қатысты даудан кейін қорды Гүлмира Сәбденбек басқаратын болды
- Үйге қамап, қонаққа кеткен: СҚО-да өрттен қаза тапқан қыздың анасы қамауға алынды
- Павлодардағы Halyk Bank бөлімшесін тонау ісі бойынша жаңа мәліметтер белгілі болды
Жаңалықтар
- Тоқаев «Таза Қазақстан» республикалық экологиялық акциясына қатысып, ағаш отырғызды
- Макрон Еуропаны «оянуға» шақырып, Ресей, Қытай мен АҚШ қарсылығын еске салды
- Ату жазасы АҚШ-та өлім жазасын орындау тәсілі ретінде қайта енгізілді
- Абай облысында жүргізушіге ескерту жасаған шекарашыны ұрып кетті
- Ақ үй Уиткофф пен Кушнердің Пәкістанға бет алғанын растады
- Талдықорғанда асханада болған жанжал әйел өлімімен аяқталды
- Алматының арықтары нөсер жаңбырды ағыза алмайды, әкімдік не дейді?
- Түркістан облысында турнирге бара жатқан балалар жолда опат болды
- Алматыда оқушы мектепке балта көтеріп келіп, оны адамдарға қарсы қолданбақ болған
- Астанада автобуста жолаушы ана мен балаға тап беріп, балағаттады
- Лобода мен Қайрат Нұртас бірлесіп трек жазды
- Бұрынғы Оңтүстік Корея президентіне 30 жыл түрме жазасы сұралды — БАҚ
- 52 адамның пойызда уланғанына байланысты көлік министрі жаңа ақпарат берді
- Тоқаев Alem.ai халықаралық жасанды интеллект орталығын аралады
- Пашинян: «Бұл әрекет айқын арандатушылық». Ереванда Түркия туын өртеді
- Талдықорғандағы жеке ауруханда бала екінші қабаттан құлап, ота жасалды
- ҚМДБ-ның өз жасанды интеллект жобасы болады
- Елдегі базарлар неге жабылып жатыр? Министрлік жауап берді
- Дональд Трамп Израиль мен Ливан арасындағы бітім туралы мәлімдеді
- Астанада түрлі этнос өкілдерінің қатысуымен республикалық айтыс өтті